- 상위 문서 - 우한 코로나바이러스 감염증
| 코로나바이러스감염증-19 상황판 ( ) 최종 (2023년 06월 01일 오전 9:40 기준) | ||
|---|---|---|
| 한국 | ||
| 누적확진자 | 사망 | 격리해제 (누적) |
| 31,728,115
|
34,804 | 969,524 |
| 치료중 | 치사율 | 바이러스 전파 상태 |
| 격리의무 없음 | 0.11% | 종식선언 |
| 전 세계 | ||
| 전 세계 확진 | 전 세계 사망 | 전 세계 격리해제 |
| 685,184,003 (+34,966) |
6,879,323 (+75) |
618,484,837 (+6,420) |
| 전 세계 치료중 | 전 세계 치사율 | 발생 국가 수 |
| 59,402,233 (+12,349) |
1.00% | 230 |
| 추후 유사 감염병 유행시 자가 예방법 | ||
| ||
| 백신 접종 관련 | ||
| ||
| 여기 있는 건 부탁이 아니다. 진짜로 하지 마라. | ||
| 추후 다른 감염병 대응을 위한 유용한 정보 | ||
| ||
개요
우한 코로나바이러스 감염증의 증상을 다루는 문서다.
심한 감기
초기는 감기와 비슷하지만 증상이 점점 심해지는 것으로 보인다.
상세
중국 베이징에 있는 수도의과 대학병원 연구팀이 지난 15일 자로 작성한 신종 코로나바이러스 감염증 보고서입니다.
초기 증세는 발열, 무기력, 마른기침입니다.
이후 호흡곤란이 오는데 심각할 때는 급성 호흡 장애는 물론 쇼크, 피가 잘 멈추지 않는 혈액 응고 장애까지 나타납니다.
일부지만 열이 나지 않는 환자도 있었습니다.
대부분 양호하지만, 소수 환자는 위독하고 사망에 이르렀는데 특히 중증 폐렴이 나타났습니다.
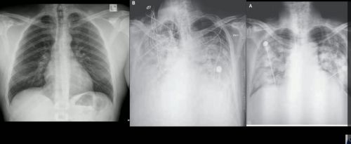
까맣게 보이는 정상인의 폐 CT와 달리 신종 코로나바이러스 감염증 환자의 폐는 하얗게 변했습니다.
[박동원/한양대병원 호흡기내과 교수 : 전반적으로 간유리 음영이 관찰되고 있습니다. 폐 전반에 염증이 심하다는 것을 의미할 수 있습니다.]
위쪽이 배 쪽 아래쪽이 등 쪽인데 시간이 지날수록 등 쪽의 허파 부위는 더 하얗게 변했습니다.
[박동원/한양대병원 호흡기내과 교수 : 아래쪽에 좀 더 음영이 진한 것으로 보아서 바이러스 폐렴이 좀 심각하게 진행하고 있고 호흡 부전 증후군으로 진행되고 있는 것은 아닌가 생각됩니다.]
치료 경험도 자세히 나옵니다.
가벼운 환자들은 증세를 경감시키는 치료만 하면 되지만 항바이러스제는 효과가 없었습니다.
호흡이 곤란하면 인공호흡기가 필요한데 일반적인 인공호흡기 치료 후 두 시간이 지나도 좋아지지 않으면 더 공격적인 인공호흡기로 바꿔야 한다고 조언했습니다.
환자들의 연령층은 40대에서 60대 사이가 가장 많았고 환자 중 15%가 상태가 위중했다고 나옵니다.
증상이 위중한 환자들은 대부분 노인, 만성병 환자 그리고 비만한 사람이었습니다.
숨은 증상
|
젤나가 맙소사! 누가 이렇게 끔찍한 혼종을 만들었단 말인가! 갸아악 구와아악!! 이 문서는 끔찍한 혼종에 대해 다룹니다. 마! 붓싼 사람들은 일케 맛난거 있음 다 스까서 같이 노나 묵는다 아이가 |
- 열, 기침 등 자각증상 없음
- 폐 섬유화, 석회화만 진행
- 완료 시 호흡곤란으로 픽! 사망
- 증상이 없으니 존나게 돌아다니며 전파
그라목손 마신 후의 증상처럼 폐를 섬유화시켜 숨이막히면서 고통스럽게 뒤진다고 보면된다.
더 무서운건 자각증상없이 그 그라목손을 모두에게 나눠주며 다닌다는 것이다.
변종이 나타난 것으로 보인다.
열과 호흡곤란
우한 폐렴 걸린 일본인 의사(80대)가 걸린 증상을 말하길 열도 있어서 감기 증상과 분별이 어렵지만 엄청나게 급격히 나른해지고 호흡하는 게 힘들어진다고(호흡곤란) 한다. 그게 이틀째 연속되고 있으며 지금까지 못 느껴본 찌뿌둥함과 나른함이라고 한다(현재 입원 치료 중).
이런 증상과 함께 인플루엔자 음성이면 꼭 우한 폐렴을 의심해보라고 한다.
뇌 손상
뇌 손상 가능성도 나왔는데 이게 훨씬 무섭다고 한다.
- 열, 기침 등 자각증상 없음
- 바이러스가 폐도 공격하면서 대뇌 아래 연수로 침투
- 연수에 염증 일으킴
- 완료 시 호흡곤란으로 픽! 사망
- 증상이 없으니 존나게 돌아다니며 전파
폐 손상
걸리면 CT로 찍었을 때 폐가 점점 하얗게 변하는데 저 하얀 게 모두 가래, 고름이 쌓여서 저렇게 된 거다.
우한 폐렴에서 회복한 일부 환자들이 빠르게 걸을 때 숨을 헐떡이는 등 폐 기능 저하 현상이 보이고 있다는 증언이 홍콩에서 나왔다.
13일 홍콩 사우스차이나모닝포스트(SCMP)에 따르면 병원에서 전날 퇴원한 우한 폐렴 환자를 관찰한 결과 이 같은 현상이 나타났다고 발표했다.
홍콩에서는 지금까지 3명의 사망자를 포함해 131건의 확진 사례가 나타났다. 이중 74명의 환자가 퇴원했으며, 1명은 회복됐다.
감염 임상관리 태스크포스(TF) 책임자인 오웬 창 탁인 프린세스 마가렛 병원 전염병센터 박사는 "의사들이 이미 퇴원 환자 12명에 대한 후속 진료 예약을 받았다"며 "그중 2~3명은 발병 이전처럼 일을 할 수 없는 상태다"라고 했다.
창 박사는 12일 언론 브리핑에서 "이들 3명의 환자들은 조금만 빨리 걸으면 숨이 막힌다"며 "회복 후라도 폐기능이 과거보다 20~30% 정도 떨어질 수 있다"고 설명했다. 창 박사는 3명의 환자들에 대한 폐 기능 검사가 실시될 예정이며, 폐 기능 강화를 위한 생리 요법도 적할 것이라고 말했다.
9명의 감염 환자를 대상으로 한 폐 스캔 검사에서는 모두에게서 유리 조각과 유사한 패턴이 발견돼 이들에게 장기 손상이 있었음을 시사했다. 다만 창 박사는 폐 조직이 굳어지는 상태인 '폐섬유증'으로까지 전개될 것인지 등의 장기적인 영향은 아직 확인되지 않았다고 말했다.
창 박사는 "수영 등의 유산소 운동이 퇴원 환자들의 점진적인 폐 기능 회복에 보탬이 될 것"이라고 말했다.
복통
환자마다 다른 증상
국내 우한 폐렴 환자가 11일 7500명을 넘어섰다. 확산 초기 우한 폐렴에 감염되면 주로 기침·콧물 같은 호흡기 관련 증상을 나타내는 것으로 알려졌지만, 현장 의료진들은 “초기 증상은 더 다양하다”고 지적한다.
지난 1월부터 대구의 한 선별진료소에서 검사를 진행해온 A(34)씨는 “머리 아픈 사람도, 설사밖에 없는 사람도 (검사 결과) 확진으로 나와 당황스러웠던 적이있다”고 전했다. 대구동산병원 상황을 총괄하는 조치흠 계명대 동산병원 원장도 “(11일 입원 중인) 경증환자 340여명 중에선 기침보다 설사 환자가 더 많은 편”이라고 밝혔다.
현재까지 국내 확진자의 증상을 구체적으로 분석한 연구논문은 없다. 지난달 28일 미국 의학저널 ‘뉴잉글랜드 저널 오브 메디신’에 발표된 논문이 중국 확진자 1099명을 분석해 가장 많은 정보를 담은 연구다. 이 논문에 따르면 전형적인 호흡기 증상인 기침(67.8%), 가래(33.7%)의 비중이 높았지만, 피로(38.1%), 근육통(14.9%), 오한(11.5%), 두통( 13.6%), 설사(3.8%) 등이 나타난 환자도 많았다.
‘가슴이 아프다’ 호소하는 경우도 많다.흉통은 폐렴이 발생하는 위치와 관련이 있다. 서울대 윤순호 교수 등의 논문에 따르면 우한 폐렴 확진자의 폐렴은 주로 폐 가장자리나 아래쪽에 생긴다. 서울백병원 호흡기내과 염호기 교수는 “폐 안쪽에는 신경이 없지만, 폐 바깥을 감싸고 있는 얇은 흉막엔 신경이 많아서 조금만 침범해도 통증이 심하다”며 "폐 가장자리 쪽에 염증이 생기면 당기거나 찌르는 듯한 통증이 나타날 수 있다"고 설명했다.
지난 5일 확진 판정을 받은 분당제생병원 환자처럼, 딸꾹질이 주로 나타나는 경우도 있다. 고려대구로병원 감염내과 김우주 교수는 “폐 아래쪽으로 번진 염증이 횡격막에 영향을 주면 딸꾹질이 생길 수 있다”고 말했다.
복통ㆍ설사와 같은 소화기 증상도 자주 나타난다. 이는 우한 폐렴 뿐 아니라 같은 코로나바이러스 계열인 사스ㆍ메르스 등과 유사한 특징이다. 부천성모병원 감염내과 유진홍 교수는 “최근 부천에서 나온 확진자는 복통을 호소했는데, 2015년 메르스 첫 번째 환자의 주 증상도 설사였다”고 말했다. 사스ㆍ메르스의 20~30%가 소화기 증상으로 나타났던 것처럼 우한 폐렴도 그럴 가능성이 크다는 설명이다.
열을 동반해 폐렴으로 진행하는 중증환자와 달리, 경증환자는 고열이 나타나는 경우가 많지 않다. 대신 두통ㆍ근육통이 두드러진다. 염호기 교수는 “바이러스 감염 후 호흡기 증상이 나타나기 전에 미열 또는 머리가 띵한 증상 등이 먼저 나타나는데, 어떤 사람들은 ‘컨디션이 좋지 않다’는 식으로 지나칠 수 있다”고 말했다.
열과 함께 두통ㆍ근육통이 나타나면 바이러스 감염을 금방 의심할 수 있지만, 초기엔 열 증상이 나타나지 않을 수 있다. 특히 고령자는 면역반응이 약해 외부에서 바이러스가 침투해도 열이 잘 나타나지 않는다. 중국 사례 연구에 따르면 전체 환자의 절반 이상(56.2%)은 입원 당시 열이 없었다.
냄새를 맡지 못하는 등 신경계의 이상이 나타날 수도 있다. 염호기 교수는 “바이러스의 양이 많고 면역 체계가 약해지면 신경계로도 침범할 수 있다”고 경고했다.
아무런 증상이 보이지 않는 무증상 감염자도 나타난다. 대구의 선별 진료소에서 근무 중인 의사는 “확진자 중 10% 정도는 별다른 증상이 없는 것 같다”고 전했다. 조치흠 원장도 “초기에 확진되는 순서대로 입원할 땐 무증상 환자가 60%에 이를 때도 있었다”며 “지금도 20% 정도는 아무런 증상이 없다”고 했다.
염호기 교수는 “에볼라 같은 예외를 제외하면 감염돼도 무증상이 많은 건 모든 바이러스의 일반적인 특징”이라고 설명했다. 김우주 교수는 “무증상인 확진자들의 폐 CT를 찍어봤더니 70%는 폐렴이 진행된 상태였다는 논문도 있다. 호흡기 증상 중심으로 우한 폐렴을 의심하는 체계에선 놓치는 부분이 생각보다 클 수 있다”고 지적했다.
합병증
심근경색, 뇌졸중이 있고 소아·청소년 다기관 염증 증후군과 길랑 바레 증후군이 있다.
영구적인 후유증
[단독]박현 교수 "난생 처음 본 후유증…완치란 말에 속지말라"
이거에 걸리고 치료를 받아 바이러스를 완전히 없애도 후유증에 시달리고 있다고 한다. 실제로 알려진 후유증은 폐 기능 손상, 폐 섬유화, 뇌손상, 후각과 미각 손실 등이 있다.
탈모도 있다고 한다. 자라나라 머리머리.. 씨발...
완치자의 증상 경험담
| 이 문서는 확고히 검증된 진실입니다. 이 문서는 거짓이 전혀 없는 완벽한 진실을 말하고 있습니다. 이 문서를 읽을 때는 안심하셔도 되니 편안한 자세로 보시기 바랍니다. |
한 줄 요약: 지옥 그 자체다.
